When a senior pet becomes ill, timely and accurate diagnosis is crucial.

In this real-life case, we share how23-year-old Dan Dan was successfully diagnosed with advanced heart disease andstabilized with appropriate treatment — regaining a good quality of life.
Many owners worry that the older a cat gets, the harder it becomes to treat illness. While age is indeed an important factor in medical decision-making, early intervention can still make a significant difference — even for very senior cats.
Below is Dan Dan’s journey, from seizure episodes to the discovery of advanced heart disease, and ultimately, stabilization.
Name: Dan Dan
Species: Domestic cat
Age: 23 years
Before onset:
Cats are generally considered senior from the age of 7 onward.
While older cats require closer monitoring, being senior does not mean untreatable.
At around 19 years old, Dan Dan began experiencing seizures approximately once per month, sometimes accompanied by brief loss of consciousness.
At that time, the seizures were thought to be neurological in origin, possibly epilepsy. There were no respiratory symptoms, and annual health checks were performed. The condition remained relatively stable.
Four years later, at over 20 years old, Dan Dan’s condition worsened.
Seizure frequency increased to three to four times per week. Her breathing rate also became noticeably faster.
Abnormal breathing is a serious warning sign. This prompted a shift in diagnostic focus — from neurological evaluation to cardiopulmonary assessment.
Within a week, Dan Dan’s condition rapidly declined. She experienced multiple seizures per day and developed clear respiratory distress.
Immediate medical intervention was necessary.
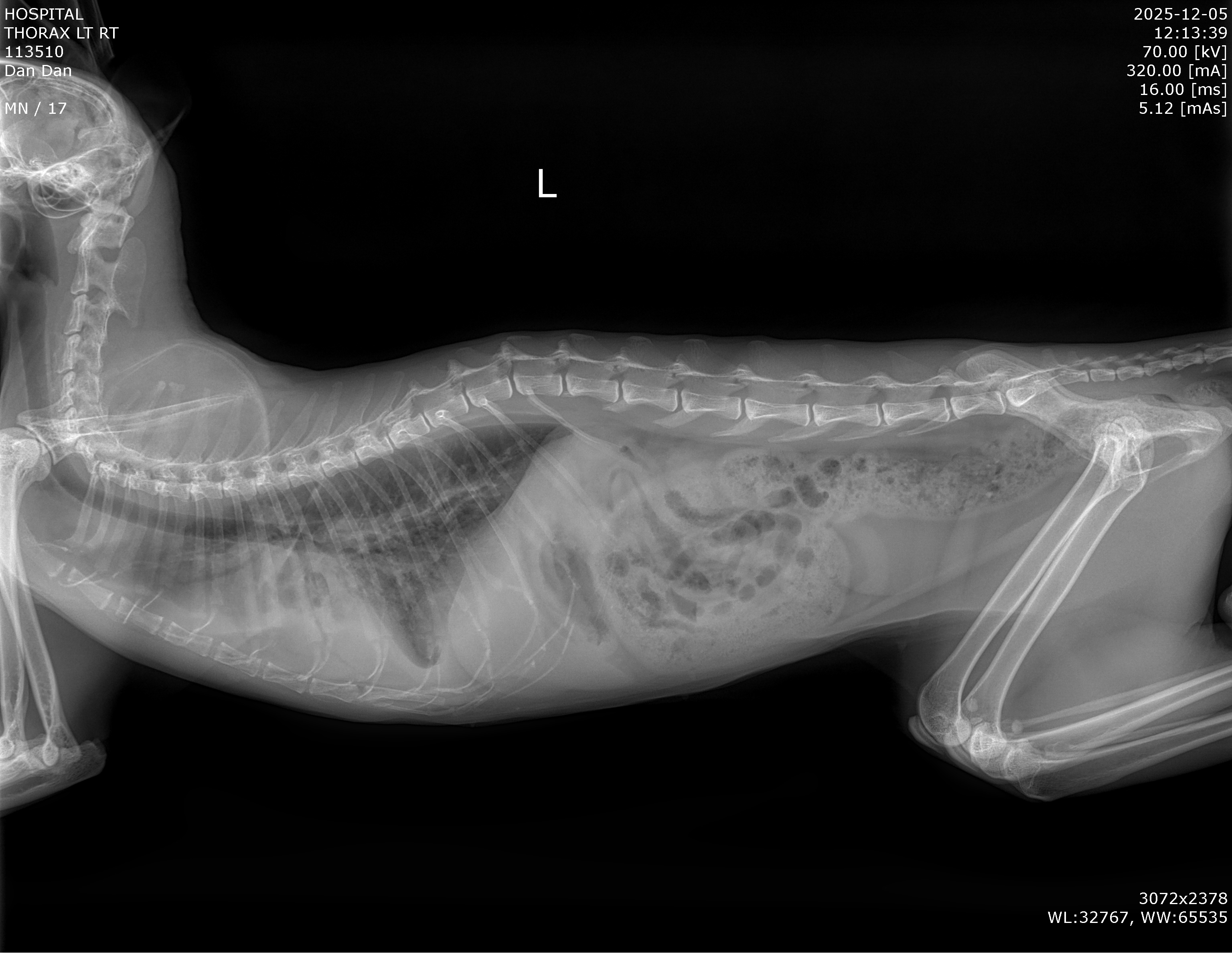
Dan Dan underwent both echocardiography and thoracic radiography.
Findings:
The heart structure had undergone irreversible changes. The heart was overloaded and had entered heart failure.
Dan Dan’s life was at imminent risk.
Hypertrophic cardiomyopathy (HCM) is a condition where the heart muscle thickens abnormally.
This thickening reduces the ventricular space, impairs blood flow, and increases pressure in the atria. In advanced stages, heart failure develops.
Stage A:
At-risk breeds, but no structural changes yet.
Stage B1:
Mild thickening, normal heart size, no symptoms.
Stage B2:
Moderate to severe thickening with chamber enlargement.
Stage C:
Clinical signs of heart failure (e.g., pleural effusion, breathing difficulty).
Stage D:
Refractory heart failure, difficult to control with medication.
Dan Dan was in Stage C, already experiencing heart failure.
Seizures alone did not initially point toward heart disease.
Only after respiratory symptoms appeared did further cardiac investigation reveal the underlying issue.
To relieve the life-threatening pleural effusion, thoracocentesis was performed. Approximately 80 cc of clear fluid was removed.
Dan Dan’s breathing improved immediately — confirming correct diagnostic direction.
When pleural effusion is present, thoracocentesis is not optional.
It is not a treatment for cardiomyopathy itself, but a life-saving emergency procedure to relieve respiratory compromise.
After the emergency intervention, Dan Dan was no longer in immediate danger.
With appropriate long-term medication, her condition stabilized.
.jpg)
.jpg)
Dan Dan continued regular follow-ups.
Results showed:
She returned to a stable daily routine — eating, drinking, and moving independently.
This is considered clinical stability.
Dan Dan’s case demonstrates that even a 23-year-old cat can stabilize with timely diagnosis and appropriate intervention.
Age alone should never determine whether treatment is pursued.
If you are concerned about your senior cat’s health, Swanston Veterinary Hospital provides comprehensive diagnostic services and individualized care plans tailored to each life stage.
📞 Phone: 2123 9206
🌐 Online booking: https://www.swanstonvet.com/#Booking
📍 Address: Shop 9, 38 On Ning Road, Yuen Long, Hong Kong
🕘 Opening Hours: 10am – 8pm (Monday to Sunday)
Some plans and bookings made through specific channels are unchangeable. Please contact us for details on +81 92 844 8111.
Available upon request. Please let us know when making a reservation.
Please refrain from wearing tank tops, flip-flops and slippers.
Available upon request. Please let us know when making a reservation.
All the restaurants except the bar on the top floor are children-friendly. CLOUDS Bar & Dining is children-friendly until 6pm but exclusive to adults after 6pm. Seala Brasserie and Lounge on 4F is the most popular restaurant among the families as there is a dedicated kids corner with kids menu.
Cancellation made by two days prior to the booked date won’t be charged.
Cancellation on the previous day: 20% of room charge.
Cancellation on the day: 100% of room charge.
No-show: 100% of room charge.
6-14F, 17-26F and 29-33F are non-smoking floors.
If you prefer non-smoking rooms, please let us know at the time of booking. Please note that non-smoking rooms are based on availability.All the restaurants are non-smoking.
We have a dog-friendly plan. Dog that can stay with guest per room is limited to one small-breed dog whose weight is 10kg or less. We have terms and conditions for the dog-friendly plan which requires your signature for approval in advance.
Please refrain from wearing tank tops, flip-flops and slippers.
All the restaurants except the bar on the top floor are children-friendly. CLOUDS Bar & Dining is children-friendly until 6pm but exclusive to adults after 6pm. Seala Brasserie and Lounge on 4F is the most popular restaurant among the families as there is a dedicated kids corner with kids menu.
Yes, we have rental bicycles on the 1st floor. You need a credit card to use a bicycle.
Yes, please contact the bell desk on 4F.
Yes.
Drop-off 8:00 AM - 11:00 AM → Delivery 6:00PM
Drop-off 11:00AM- 5:00PM → Delivery 10:00AM next morning.
For more details regarding specific items and prices, please refer to the laundry slipplaced in the room.
Early check-in is possible based on availability. Late check-out is possible based on availability. Please let us know your request in advance. You can check-in late at night but please let the front desk know if you are checking in after 10:00 PM.
Complimentary shuttle bus between Hilton Fukuoka Sea Hawk and the nearest subway station XXX is available for the guests on weekends and holidays, between 10:00am and 7:00 pm running every 20 minutes.
Yes, please contact the bell desk on 4F.
Yes, we have rental bicycles on the 1st floor. You need a credit card to use a bicycle.
Hotel guest can use the parking lot for XXX per day per vehicle (until 24:00 of the departure day). Customers who spend more than XXX in restaurant can park for 2 hours free of charge. Please bring your parking ticket when settling the bill. Parking fee for other customers is XXX for up to 1 hour and after that XXX will be added per every 30 minutes. If you park more than 2 hours, XXX will be added to the total amount. *For example, the parking fee will be XXX if you park for 2 hours 50 minutes.
*After submitting the booking request, our team will call you as soon as possible to confirm the date and time. The appointment date and time will be confirmed by phone.